Những nguyên nhân gây nên tình trạng mất răng sớm không phải ai cũng biết
1. Mất răng sớm là gì? Tại sao cần quan tâm?
Mất răng sớm là tình trạng rụng răng khi chưa đến tuổi già hoặc không phải do yếu tố sinh lý tự nhiên. Khi một chiếc răng mất đi, cấu trúc hàm răng sẽ bị xô lệch, khả năng ăn nhai giảm sút, lâu dài có thể gây tiêu xương hàm và lão hóa khuôn mặt. Hơn nữa, mất răng còn tạo ra khoảng trống khiến vi khuẩn dễ trú ngụ, làm tăng nguy cơ mắc các bệnh lý răng miệng khác.
Đặc biệt, hiện nay tỷ lệ người mất răng ở độ tuổi 25–45 ngày càng tăng, chủ yếu do thói quen chăm sóc răng miệng sai cách. Vì vậy, việc hiểu đúng nguyên nhân và có biện pháp phòng ngừa sớm là vô cùng quan trọng.

2. Nguyên nhân gây nên tình trạng mất răng sớm
Tình trạng rụng răng sớm không chỉ xuất phát từ các vấn đề bệnh lý mà còn liên quan đến nhiều thói quen sinh hoạt hàng ngày. Việc nhận diện đúng nguyên nhân là bước đầu quan trọng giúp bảo vệ sức khỏe răng miệng và ngăn ngừa các biến chứng về lâu dài.
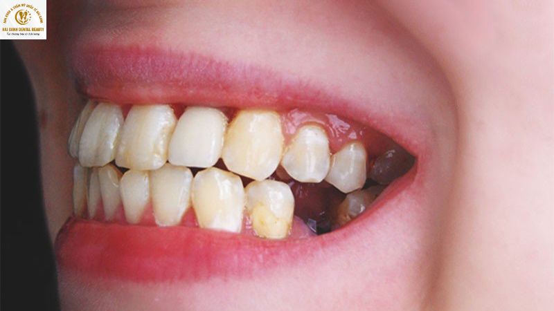
2.1. Bệnh lý răng miệng không điều trị kịp thời
Một trong những tác nhân phổ biến dẫn đến mất răng sớm là các bệnh lý răng miệng như viêm lợi, viêm nướu, tụt lợi và đặc biệt là nha chu viêm. Nhiều người chủ quan xem đây chỉ là những vấn đề đơn giản như chảy máu chân răng hay hơi thở có mùi. Tuy nhiên trên thực tế, nha chu là bệnh lý âm thầm nhưng vô cùng nguy hiểm.
Khi mô nha chu – bao gồm lợi, xương ổ răng và hệ thống dây chằng – bị tổn thương, răng sẽ dần mất đi điểm tựa, trở nên lung lay và sau cùng là rụng khỏi cung hàm. Điều đáng lo ngại là bệnh nha chu tiến triển rất âm thầm, đôi khi không gây đau nên người bệnh không nhận biết sớm. Khi phát hiện thì răng thường đã lung lay nhiều và khó giữ lại.
2.2. Sâu răng kéo dài làm hỏng cấu trúc tủy
Sâu răng là bệnh lý mà hầu như ai cũng từng gặp, nhưng nếu không điều trị sớm thì hậu quả lại nghiêm trọng hơn tưởng tượng. Vi khuẩn trong mảng bám sẽ dần phá hủy men răng, lan đến ngà và cuối cùng là tủy răng.
Khi tủy răng bị tổn thương, răng không còn được nuôi dưỡng, dẫn đến tình trạng giòn, yếu và dễ gãy rụng. Ở nhiều trường hợp, sâu răng nặng khiến thân răng bị phá hủy gần hết, chỉ còn mảnh nhỏ sát nướu. Lúc này, việc giữ lại răng tự nhiên gần như là không thể.

2.3. Vệ sinh răng miệng sai cách
Dù là thói quen hàng ngày nhưng không phải ai cũng biết cách vệ sinh răng miệng đúng chuẩn. Các sai lầm thường gặp có thể kể đến như:
- Chải răng quá mạnh, làm mòn men và tổn thương nướu.
- Đánh răng quá ít, không đúng thời điểm (đặc biệt bỏ qua buổi tối).
- Không sử dụng chỉ nha khoa, khiến mảng bám tích tụ lâu ngày.
- Không súc miệng hoặc dùng dung dịch sát khuẩn phù hợp.
Những sai sót nhỏ nhưng diễn ra liên tục trong nhiều năm khiến vi khuẩn phát triển mạnh, làm tăng nguy cơ sâu răng, viêm nướu và nha chu – nền tảng dẫn đến mất răng sớm.
2.4. Các thói quen xấu ảnh hưởng đến sức khỏe răng miệng
Nhiều thói quen tưởng chừng vô hại lại là tác nhân âm thầm khiến răng bị tổn thương và dễ rụng. Một số hành vi phổ biến bao gồm:
- Nghiến răng khi ngủ: Gây mòn men, nứt răng, làm răng yếu dần.
- Dùng răng cắn đồ vật cứng như nắp chai, bao bì… dễ gây mẻ răng.
- Nhai đá, cắn xương – nguy cơ nứt tủy rất cao.
- Xỉa răng bằng tăm, khiến lợi tụt dần, tạo kẽ hở lớn.
- Ăn đồ quá nóng – quá lạnh – quá ngọt, làm men răng suy yếu nhanh.
- Uống nước ngọt thường xuyên làm tăng axit trong khoang miệng, phá hủy men.
Những thói quen này nếu kéo dài nhiều năm sẽ khiến răng suy yếu và dễ rụng ngay cả khi còn trẻ.

3. Hậu quả nghiêm trọng khi mất răng sớm
Mất răng sẽ kéo theo nhiều hệ lụy, ảnh hưởng đến sức khỏe răng miệng, sức khỏe toàn thân cũng như chất lượng cuộc sống. Dưới đây là các hệ quả nguy hiểm của việc mất răng:
- Suy giảm chức năng ăn nhai và ảnh hưởng hệ tiêu hóa: Mất răng sẽ làm giảm rõ rệt khả năng cắn, xé và nghiền thức ăn. Từ đó hình thành thói quen nhai lệch về một bên hoặc chọn thức ăn mềm, ít xơ. Hoạt động ăn nhai không kỹ sẽ khiến dạ dày và ruột phải làm việc nhiều hơn, lâu dài dễ gây viêm loét dạ dày, rối loạn tiêu hóa và giảm hấp thu dinh dưỡng.
- Tiêu xương ổ răng và tiêu xương hàm: Sau khi mất răng, xương ổ răng không còn chịu lực nhai sẽ bắt đầu tiêu dần. Tiêu xương kéo dài sẽ dẫn đến biến dạng hàm, má hóp, nướu tụt và gây khó khăn khi phục hình răng sau này.
- Xô lệch răng và sai khớp cắn: Răng bên cạnh và răng đối diện khoảng trống mất răng sẽ có xu hướng dịch chuyển vào để lấp chỗ trống. Hậu quả là khớp cắn bị sai lệch, gây khó nhai, tăng nguy cơ mòn răng không đều và mắc kẹt thức ăn, dẫn đến các bệnh lý như sâu răng, viêm nướu.
- Ảnh hưởng thẩm mỹ khuôn mặt và lão hóa sớm: Mất răng, đặc biệt là răng cửa sẽ khiến nụ cười kém tự tin, khuôn mặt trở nên già hơn. Đặc biệt, tiêu xương hàm và tụt nướu còn làm môi mỏng, má hóp, nếp nhăn quanh miệng xuất hiện sớm hơn tuổi.
- Phát âm không chính xác: Răng đóng vai trò định hướng luồng hơi và hỗ trợ lưỡi trong việc phát âm. Khi mất vùng răng trước có thể khiến bạn phát âm sai hoặc bị ngọng ở một số âm như “th”, “f”, “s”, ảnh hưởng đến giao tiếp và công việc.
- Đau đầu, đau cổ vai và rối loạn khớp thái dương hàm: Tình trạng sai khớp cắn sau khi mất răng sẽ gây mất cân bằng lực nhai, tạo áp lực lên khớp thái dương hàm và cơ nhai. Từ đó dẫn đến tình trạng đau cơ mặt, đau đầu, mỏi cổ vai gáy và thậm chí gây ra tiếng “lục cục” khi há miệng.
- Ảnh hưởng đến công việc và cuộc sống hàng ngày: Mất răng làm giảm sự tự tin khi giao tiếp, đặc biệt với những người làm việc trong môi trường yêu cầu giao tiếp nhiều. Ngoài ra, việc ăn uống bất tiện cũng ảnh hưởng đến sinh hoạt và các hoạt động thường ngày khác.
- Tăng nguy cơ bệnh lý răng miệng và mất thêm răng: Khoảng trống do mất răng tạo ra sẽ là nơi dễ tích tụ thức ăn, tạo điều kiện cho vi khuẩn phát triển. Từ đó làm tăng nguy cơ sâu răng, viêm nướu ở các răng kế cận. Nếu không xử lý, có thể dẫn đến mất thêm răng.

4. Biện pháp khắc phục tình trạng mất răng sớm
Thông thường, đối với tình trạng rụng răng sớm người bệnh có thể khắc phục bằng các biện pháp nha khoa sau đây:
4.1. Trồng răng Implant
Trồng răng Implant là thường được áp dụng khi người bệnh rụng một răng, rụng nhiều răng hay rụng răng toàn hàm. Phương pháp này sẽ cấy trực tiếp trụ Implant, đóng vai trò là chân răng nhân tạo vào vị trí răng bị rụng. Răng Implant có màu sắc và hình dáng tương tự răng thật, giúp phục hồi chức năng ăn nhai và thẩm mỹ cho răng. Đồng thời, ngăn chặn tối đa tình trạng tiêu xương và lão hóa sớm.

4.2. Cầu răng sứ
Đối với phương pháp cầu răng sứ, bác sĩ sẽ mài 2 răng bên cạnh răng mất để làm trụ, sau đó gắn mão sứ được chế tạo từ ít nhất 3 răng sứ liền nhau vào. Mặc dù đảm bảo được chức ăn nhai và thẩm mỹ nhưng phương pháp này vẫn không thể ngăn chặn được tình trạng tiêu xương hàm.

4.3. Hàm giả tháo lắp
Hàm giả tháo lắp là phương pháp phục hình răng mất truyền thống, đặc biệt phù hợp với người lớn tuổi mất toàn bộ răng trên cung hàm hoặc những người có xương hàm yếu, không đủ điều kiện để cấy ghép Implant hay bắc cầu răng sứ. Hàm giả tháo lắp chỉ phục hồi ăn nhai tối đa 60%, tình trạng tiêu xương hàm vẫn diễn ra nhanh chóng.

5. Biện pháp phòng ngừa, ngăn chặn tình trạng mất răng sớm
Mất răng hoàn toàn có thể phòng ngừa bằng cách áp dụng chế độ vệ sinh, ăn uống hợp lý cũng như thực hiện chủ động duy trì thói quen thăm khám nha khoa định kỳ. Cụ thể như sau:
- Vệ sinh răng miệng hàng ngày bằng cách đánh răng ít nhất 2 lần/ngày bằng bàn chải lông mềm và kem đánh răng chứa fluoride. Khi đánh răng cần chải nhẹ nhàng theo chiều dọc hoặc xoay tròn, tránh chải ngang quá mạnh gây mòn men và tụt nướu. Đặc biệt, bạn nên thay bàn chải 3 tháng/lần hoặc khi lông bị xòe.
- Sử dụng chỉ nha khoa và nước súc miệng: Nên dùng chỉ nha khoa sau mỗi bữa ăn để loại bỏ mảng bám và thức ăn ở kẽ răng – nơi bàn chải khó tiếp cận. Đừng quên súc miệng bằng dung dịch kháng khuẩn hoặc nước muối sinh lý để giảm vi khuẩn, ngừa viêm nướu và sâu răng.
- Thăm khám nha khoa định kỳ: Hãy duy trì thói quen thăm khám nha khoa định kỳ 6 tháng/lần để phát hiện sớm các vấn đề răng miệng như sâu răng, viêm nướu, viêm nha chu. Bác sĩ sẽ đưa ra biện pháp can thiệp kịp thời, ngăn bệnh tiến triển đến mức phải nhổ răng.
- Xử lý kịp thời các vấn đề răng miệng: Khách hàng không nên chủ quan khi xuất hiện các vấn đề răng miệng như đau răng, chảy máu nướu, sưng lợi hay răng lung lay. Cần đến nha khoa để điều trị sớm các bệnh lý như sâu răng, viêm tủy, viêm nha chu, tránh biến chứng dẫn đến mất răng.
- Chế độ ăn uống giàu canxi, vitamin D: Hãy xây dựng chế độ ăn uống hợp lý, ưu tiên bổ sung các thực phẩm giàu canxi như sữa, phô mai, cá hồi, hải sản, rau xanh và vitamin D như trứng, cá…Hạn chế đường, đồ ngọt, nước có gas để giảm nguy cơ sâu răng.
- Khám và lấy cao răng định kỳ: Mảng bám cao răng là nơi dễ phát sinh vi khuẩn gây viêm nướu và tiêu xương. Vì thế khách hàng nên lấy cao răng 6 tháng/lần (hoặc sớm hơn nếu có nhiều mảng bám) để giữ nướu khỏe mạnh và răng chắc chắn.

Tình trạng rụng răng sớm gây ảnh hưởng rất lớn đến sức khỏe răng miệng và thẩm mỹ. Vì vậy, bạn hãy chủ động chăm sóc và vệ sinh răng miệng thật tốt. Đặc biệt, nếu nhận thấy các dấu hiệu của bệnh lý nha khoa, hãy đến thăm khám bác sĩ ngay để được chữa trị kịp thời, hạn chế tối đa tình trạng rụng răng.
Với hệ thống trang thiết bị hiện đại, đội ngũ bác sĩ giàu kinh nghiệm và quy trình thăm khám chuẩn quốc tế, Nha khoa Thẩm mỹ Quốc tế Hải Oanh luôn sẵn sàng đồng hành và bảo vệ sức khỏe răng miệng cho bạn và gia đình.
------------------------------------------------------------
Nha Khoa Thẩm Mỹ Quốc Tế Hải Oanh - Tạo thương hiệu từ chất lượng!
- Địa chỉ: Ngã ba đường 188, Khu đô thị Tân Việt Bắc - Mạo Khê - Đông Triều - Quảng Ninh.
- Hotline: 0915.151.191 - 0818.28.28.29
- Website: https://nhakhoathammyquoctehaioanh.com/
- Zalo OA: https://zalo.me/haioanhdental
