Cao răng độ 3 có nguy hiểm không? Phương pháp xử lý và cách chăm sóc sau khi lấy cao răng

Cao răng độ 3 là tình trạng lớp cao có thể dày đến 2mm, bám rộng vào thân răng và nướu. Mức độ che phủ của cao răng độ 3 có thể gây ra tình trạng viêm nướu, tụt lợi, hở chân răng khiến răng dễ lung lay và gãy rụng. Bài viết sau đây của Nha khoa Thẩm Mỹ Quốc Tế Hải Oanh sẽ cung cấp các thông tin về cao răng độ 3, vị trí, độ dày, mức độ nguy hiểm cũng như phương pháp xử lý cao răng độ 3.

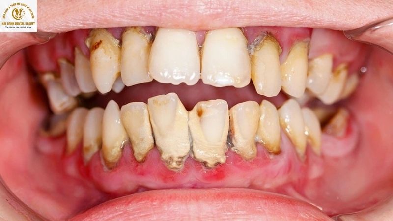
1. Cao răng độ 3 là gì? Đặc điểm, màu sắc, vị trí và độ dày

Cao răng độ 3 là là tình trạng cao răng nghiêm trọng nhất. Lúc này mảng bám khoáng hóa đã phát triển dày lên đến 2mm, cứng và bám chặt vào trên răng, thậm chí lan xuống nướu, gây ảnh hưởng rõ rệt về thẩm mỹ và sức khỏe răng miệng.

Ở giai đoạn cao răng độ 3, việc loại bỏ cao răng bằng các biện pháp vệ sinh tại nhà không thể thực hiện được, mà bắt buộc phải can thiệp bằng kỹ thuật lấy cao răng chuyên sâu tại nha khoa.

Đặc điểm của cao răng độ 3:

  • Cao răng đã chuyển biến nghiêm trọng
  • Mảng bám cứng chắc, bám sâu vào răng và nướu 
  • Kết cấu của cao răng dày và cứng, khó bong tróc khi tác động nhẹ 
  • Không thể làm sạch bằng bàn chải hoặc chỉ nha khoa, cần sử dụng dụng cụ nha khoa chuyên dụng để loại bỏ 

Màu sắc của cao răng độ 3: 

  • Thường chuyển sang màu vàng sậm hoặc nâu đậm 
  • Màu sắc tương phản với màu răng thật khiến tổng thể hàm răng không đều màu, mất đi tính thẩm mỹ

Vị trí thường gặp của cao răng độ 3:

  • Chủ yếu xuất hiện ở mặt trong của răng, đặc biệt là răng hàm dưới gần tuyến nước bọt.
  • Có thể xuất hiện cả ở mặt ngoài răng, nhất là răng cửa hàm trên.
  • Thường lan rộng quanh thân răng và bám dính xuống viền nướu, gây viêm nướu hoặc viêm nha chu nếu không xử lý.

Độ dày của cao răng độ 3

  • Mảng cao răng ở độ 3 thường dày và cứng, độ dày có thể lên đến 2mm.
  • Lớp cao răng tạo thành từng mảng lớn, bao phủ một phần đáng kể bề mặt răng, gây cảm giác cộm khi ăn nhai.

2. So sánh các mức độ cao răng trong nha khoa

Căn cứ vào thời gian tích tụ, cấu trúc và màu sắc, cao răng được chia thành 4 mức độ. Mỗi mức độ phản ánh tình trạng sức khỏe răng miệng và nguy cơ tiềm ẩn khác nhau. Dưới đây là bảng so sánh mức độ cao răng 1, 2, 3, 4, khách hàng có thể tham khảo:

Mức độ cao răng Đặc điểm Màu sắc Vị trí thường gặp Khả năng loại bỏ Tác hại
Độ 1 – Nhẹ Mảng bám mỏng, mềm, mới hình thành, chưa bám chặt vào răng Trắng đục hoặc hơi ngà Sát viền nướu, đặc biệt mặt trong răng cửa dưới
  • Có thể loại bỏ một phần bằng bàn chải, chỉ nha khoa và súc miệng
  • Tuy nhiên cần lấy cao răng định kỳ để làm sạch hoàn toàn
Ít ảnh hưởng, nhưng là nền tảng cho vi khuẩn phát triển gây hôi miệng, kích ứng nướu, viêm nướu nhẹ
Độ 2 – Trung bình Cứng và dày hơn độ 1, bám chắc hơn và bắt đầu khoáng hóa Vàng nhạt hoặc vàng sậm Lan rộng từ viền nướu lên thân răng, cả mặt ngoài và trong Không loại bỏ được bằng vệ sinh thường với bàn chải, cần lấy cao răng bằng dụng cụ chuyên dụng tại nha khoa
  • Nướu đỏ, sưng nhẹ, dễ chảy máu khi chải răng
  • Hơi thở có mùi
  • Viêm nướu
Độ 3 – Nghiêm trọng Mảng cao dày lên đến 2mm, cứng và bám sâu vào răng, nướu Vàng sậm hoặc nâu đậm
  • Quanh thân răng, lan xuống viền nướu
  • Mặt trong răng hoặc thậm chí cả mặt ngoài
Không thể loại bỏ tại nhà bằng cách vệ sinh thông thường, cần lấy cao răng chuyên sâu tại nha khoa
  • Mất thẩm mỹ rõ rệt
  • Viêm nướu, tụt nướu, hôi miệng
  • Nguy cơ viêm nha chu
Độ 4 – Rất nặng Cấp độ nặng nhất, mảng cao rất dày, cứng chắc, gây tổn thương nghiêm trọng  Nâu đen hoặc xanh đen Bao phủ toàn bộ thân răng, lan sâu xuống dưới nướu Chỉ có thể loại bỏ bằng điều trị nha khoa chuyên sâu
  • Lộ chân răng
  • Tụt nướu nghiêm trọng
  • Viêm nha chu nặng, tiêu xương ổ răng
  • Răng lung lay hoặc rụng sớm

3. Mức độ nguy hiểm của cao răng cấp độ 3

Cao răng cấp độ 3 ảnh hưởng trực tiếp đến thẩm mỹ và có thể dẫn đến những biến chứng nguy hiểm cho sức khỏe răng miệng. Cụ thể:

  • Ảnh hưởng thẩm mỹ: Cao răng độ 3 thường có màu vàng sậm hoặc nâu đậm, tương phản rõ rệt với màu răng thật, khiến nụ cười kém tươi sáng. Mảng bám dày, cứng gây cảm giác răng bẩn, xỉn màu khiến khách hàng mất tự tin khi giao tiếp.
  • Viêm nướu: Lớp cao răng thô ráp, cứng dày là môi trường trú ngụ lý tưởng của vi khuẩn gây viêm nướu, dễ dẫn đến tình trạng nướu bị sưng đỏ, dễ chảy máu khi chải răng hoặc ăn nhai.
  • Chảy máu chân răng: Cao răng bám vào nướu gây kích ứng khiến các mao mạch dưới nướu bị tổn thương, dẫn đến chảy máu thường xuyên. Tình trạng chảy máu kéo dài sẽ làm tăng nguy cơ nhiễm trùng nướu.
  • Tụt nướu (lợi): Cao răng bám sâu xuống viền nướu sẽ gây viêm và phá hủy mô liên kết, dẫn đến tụt nướu. Khi nướu tụt, phần chân răng lộ ra khiến răng nhạy cảm và dễ bị tổn thương. 
  • Răng lung lay và mất răng: Sự tích tụ cao răng lâu ngày có thể phá hủy hệ thống dây chằng và xương nâng đỡ răng. Nếu không điều trị, răng có thể lung lay mạnh và rụng sớm. 
  • Suy yếu men răng, viêm tủy hoại tử lợi: Cao răng tạo điều kiện cho axit và vi khuẩn tấn công men răng, làm răng yếu dần. Vi khuẩn xâm nhập sâu có thể gây viêm tủy, thậm chí hoại tử lợi và đau nhức dữ dội.
  • Viêm nha chu và áp xe nướu: Cao răng độ 3 là nguyên nhân hàng đầu dẫn tới viêm nha chu – bệnh lý nguy hiểm có thể phá hủy xương ổ răng. Áp xe nướu hình thành khi vi khuẩn gây nhiễm trùng tạo mủ, khiến vùng nướu sưng to và đau nhức.
  • Gây hôi miệng: Vi khuẩn trong cao răng phân hủy thức ăn thừa, giải phóng hợp chất sulfur sẽ gây mùi hôi khó chịu. Từ đó làm giảm tự tin, ảnh hưởng đến giao tiếp và công việc. 
  • Ảnh hưởng đến chức năng ăn nhai và giao tiếp: Răng đau, lung lay, nướu viêm khiến việc nhai thức ăn trở nên khó khăn. Mất răng hoặc đau nhức liên tục sẽ ảnh hưởng trực tiếp đến khả năng giao tiếp và chất lượng cuộc sống.

4. Phương pháp xử lý cao răng cấp độ 3 

Để làm sạch cao răng độ 3, biện pháp duy nhất là đến nha khoa uy tín và thực hiện lấy cao răng bằng những công nghệ hiện đại. Hiện nay, công nghệ lấy cao răng siêu âm đang là giải pháp hữu hiệu được nhiều nha khoa uy tín sử dụng và các khách hàng tin dùng. 

Ưu điểm của lấy cao răng bằng sóng siêu âm tại nha khoa: 

  • Loại bỏ triệt để cao răng: Dụng cụ siêu âm hoặc thủ công chuyên dụng có thể phá vỡ và tách mảng cao răng bám chặt, bao gồm cả phần cao răng dưới nướu.
  • An toàn cho răng và nướu: Bác sĩ kiểm soát lực và vị trí thao tác, tránh làm tổn thương men răng hoặc mô mềm.
  • Giảm nguy cơ mắc bệnh nha chu: Loại bỏ môi trường sống của vi khuẩn nên hạn chế viêm nướu, tụt nướu và tiêu xương ổ răng.
  • Cải thiện thẩm mỹ và hơi thở: Sau khi lấy cao răng, răng sẽ sáng hơn, giảm hôi miệng và mang lại sự tự tin khi giao tiếp.
  • Ngăn ngừa tái bám nhanh: Bác sĩ sẽ đánh bóng bề mặt răng, làm chậm quá trình hình thành mảng bám mới.

Quy trình lấy cao răng chuẩn y khoa tại Nha Khoa Thẩm Mỹ Quốc Tế Hải Oanh: 

  1. Bước 1 – Thăm khám và đánh giá tình trạng răng miệng: Bác sĩ kiểm tra toàn bộ khoang miệng, xác định mức độ cao răng và các bệnh lý liên quan như viêm nướu, viêm nha chu… Sau đó tư vấn phương pháp lấy cao răng phù hợp, có thể là phương pháp sóng siêu âm, thủ công hoặc kết hợp cả hai.
  2. Bước 2 – Vệ sinh khoang miệng ban đầu: Khách hàng cúc miệng với dung dịch sát khuẩn để giảm lượng vi khuẩn. Bác sĩ sẽ che chắn và bảo vệ các vùng nhạy cảm nếu cần.
  3. Bước 3 – Tiến hành lấy cao răng bằng công nghệ siêu âm
  4. Bước 4 – Đánh bóng răng: Bác sĩ sử dụng chổi đánh bóng và bột polishing để làm mịn bề mặt men răng, giảm khả năng bám mảng, cao răng trở lại.
  5. Bước 5 – Súc miệng và hướng dẫn chăm sóc tại nhà: Khách hàng súc miệng lại với dung dịch sát khuẩn. Bác sĩ hướng dẫn chế độ vệ sinh răng miệng đúng cách và hẹn lịch tái khám định kỳ. 

5. Chăm sóc sau khi lấy cao răng cấp độ 3

Sau khi lấy cao răng cấp độ 3, răng và nướu sẽ sạch nhưng nhạy cảm hơn do lớp cao răng đã được loại bỏ, bề mặt răng vừa được làm sạch và vùng nướu cần thời gian hồi phục. Do đó, chăm sóc đúng cách là yếu tố cần thiết để duy trì kết quả và bảo vệ sức khỏe răng miệng lâu dài. Cách chăm sóc cụ thể như sau:

  • Hạn chế thực phẩm và đồ uống sẫm màu: Trong 24 – 48 giờ đầu sau khi lấy cao răng, khách hàng tránh các loại thực phẩm và đồ uống có màu đậm như cà phê, trà, rượu vang đỏ, nước ngọt có gas, nước tương, củ dền… Nếu bắt buộc phải dùng, khách hàng nên uống qua ống hút và súc miệng ngay sau đó để giảm nguy cơ răng bám màu trở lại.
  • Không tẩy trắng răng ngay: Sau khi lấy cao răng, bề mặt men răng và nướu cần thời gian ổn định. Việc tẩy trắng ngay có thể gây ê buốt hoặc kích ứng nướu. Thời điểm thích hợp để tẩy trắng răng là sau ít nhất 1 – 2 tuần để răng khỏe và giảm nhạy cảm.

  • Bổ sung dinh dưỡng: Bạn nên ăn nhiều rau xanh, trái cây giòn như táo, lê, cà rốt để hỗ trợ làm sạch răng tự nhiên. Ngoài ra hãy bổ sung canxi bằng các thực phẩm như sữa, phô mai, hạnh nhân và vitamin C để tăng sức đề kháng nướu.
  • Vệ sinh răng miệng khoa học: Hãy đánh răng ít nhất 2 lần/ngày với bàn chải lông mềm để tránh gây tổn thương vùng nướu mới làm sạch. Khách hàng nên sử dụng kem đánh răng chứa fluoride để bảo vệ men răng và ngăn sâu răng.
  • Sử dụng chỉ nha khoa, máy tăm nước và nước súc miệng: Để vệ sinh răng miệng sạch sẽ, khách hàng nên sử dụng thêm các dụng cụ làm sạch sâu như chỉ nha khoa để loại bỏ mảng bám kẽ răng, máy tăm nước làm sạch răng hiệu quả nhất là với người có răng chen chúc hoặc đang niềng. Còn nước súc miệng sẽ giúp sát khuẩn, giảm vi khuẩn gây viêm nướu và hôi miệng.

  • Khám răng định kỳ: Hãy duy trì thói quen khám răng định kỳ ở nha khoa 6 tháng/lần hoặc theo lịch hẹn của bác sĩ để kiểm tra tình trạng nướu và men răng. Ngoài ra, lấy cao răng định kỳ giúp ngăn ngừa sự tiến triển của mảng bám cao răng sang viêm nha chu hoặc mất răng.

6. Nha Khoa Thẩm Mỹ Quốc Tế Hải Oanh - Địa chỉ lấy cao răng an toàn, hiệu quả tại Quảng Ninh 

Bạn đang tìm kiếm một địa chỉ lấy cao răng uy tín? Hãy đến với Nha khoa Thẩm mỹ Quốc tế Hải Oanh. Chúng tôi cam kết mang đến sự an tâm tuyệt đối nhờ quy trình chuẩn Y khoa và đội ngũ bác sĩ chuyên môn cao.

Sự tin tưởng của khách hàng được xây dựng dựa trên sự minh bạch và an toàn. Quy trình lấy cao răng tại Nha khoa Thẩm mỹ Quốc tế Hải Oanh được thực hiện theo tiêu chuẩn nghiêm ngặt của Bộ Y tế:

  • Thăm khám toàn diện: Bác sĩ kiểm tra tổng quát tình trạng răng miệng, đưa ra phác đồ điều trị phù hợp với từng cá nhân.
  • Quy trình vô khuẩn nghiêm ngặt: Toàn bộ dụng cụ nha khoa được hấp sấy vô khuẩn bằng máy hấp Autoclave, đảm bảo ngăn ngừa tuyệt đối lây nhiễm chéo.
  • Thao tác chuyên nghiệp: Bác sĩ sẽ thực hiện lấy cao răng một cách tỉ mỉ, làm sạch toàn diện cả trên và dưới nướu, sau đó đánh bóng bề mặt răng để hạn chế mảng bám tái tích tụ.
  • Công nghệ hiện đại: Chúng tôi sử dụng máy cạo vôi răng bằng sóng siêu âm và máy thổi cát Air Polishing tiên tiến. Công nghệ này giúp loại bỏ mảng bám và cao răng một cách nhẹ nhàng, không gây tổn thương men răng hay ê buốt.

Lựa chọn Nha khoa Thẩm mỹ Quốc tế Hải Oanh là bạn đang đầu tư cho sức khỏe lâu dài của nụ cười. Hãy đến với chúng tôi để trải nghiệm dịch vụ lấy cao răng uy tín, nơi bạn sẽ được chăm sóc tận tình bởi đội ngũ chuyên gia và công nghệ hàng đầu, mang lại sự tự tin trọn vẹn.

Cao răng độ 3 là mức độ nghiêm trọng và nguy hiểm, cần sự can thiệp điều trị chuyên sâu từ bác sĩ nha khoa. Phương pháp vệ sinh thông thường tại nhà không thể loại bỏ được cao răng độ 3. Khách hàng khi lấy cao răng độ 3 cần lựa chọn cơ sở nha khoa uy tín để đảm bảo an toàn, dịch vụ chất lượng.

Hy vọng với những thông tin được cung cấp qua bài viết trên, khách hàng đã hiểu về cao răng độ 3, mức độ nguy hiểm cũng như phương pháp xử lý và cách chăm sóc sau khi lấy cao răng. Ngay từ bây giờ khách hàng nên duy trì thói quen chăm sóc và thăm khám nha khoa định kỳ để có một nền tảng sức khỏe răng miệng lâu dài. Liên hệ ngay Nha Khoa Thẩm Mỹ Quốc Tế Hải Oanh qua thông tin dưới đây. 

---------------------------------------------------------------------------------------

Nha Khoa Thẩm Mỹ Quốc Tế Hải Oanh - Tạo thương hiệu từ chất lượng!