[HỎI ĐÁP] Nhổ răng khôn 1 bên có bị lệch mặt không?
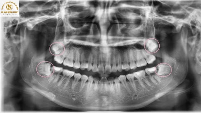
1. Nhổ răng khôn 1 bên có bị lệch mặt không?
Sự lo lắng của bạn thường đến từ cảm giác sưng và đau nhức tạm thời sau phẫu thuật. Nhưng hãy an tâm, khuôn mặt của bạn sẽ trở lại bình thường sau vài ngày khi vết thương lành. Ngoài ra, trên thực tế lâm sàng, các trường hợp thay đổi cấu trúc khuôn mặt sau khi nhổ răng khôn là rất hiếm và không có cơ sở khoa học rõ ràng.
Để bạn hiểu rõ hơn, chúng tôi sẽ giải thích dựa trên cấu trúc khuôn mặt:
- Vị trí của răng khôn: Răng khôn nằm ở cuối cùng của cung hàm, gần sát xương quai hàm. Nó không tham gia vào chức năng ăn nhai chính và không có vai trò nâng đỡ cấu trúc khuôn mặt. Do đó, việc loại bỏ chiếc răng này không gây ra sự xô lệch đáng kể đối với các răng còn lại hay cấu trúc xương mặt.

- Cơ cắn và mô mềm: Cơ mặt, đặc biệt là cơ cắn, là yếu tố chính quyết định hình dạng khuôn mặt. Việc nhổ một chiếc răng khôn không làm thay đổi cấu trúc cơ này. Mọi thay đổi bạn cảm nhận được chỉ là sự sưng nề tạm thời, hoàn toàn không phải là sự thay đổi vĩnh viễn của khuôn mặt.
2. Sau khi nhổ răng khôn cần làm gì? Hướng dẫn chăm sóc chuẩn y khoa để phục hồi nhanh
Việc chăm sóc hậu phẫu đúng cách là chìa khóa để vết thương sau khi nhổ răng khôn nhanh chóng lành lại và tránh được các biến chứng. Hãy luôn tuân thủ hướng dẫn của bác sĩ và liên hệ ngay với nha sĩ nếu bạn gặp bất kỳ dấu hiệu bất thường nào như chảy máu không ngừng, sưng đau tăng, hoặc sốt.
2.1. Kiểm soát chảy máu và giảm sưng tấy
Việc kiểm soát chảy máu và giảm sưng tấy sau khi nhổ răng khôn đóng vai trò cực kỳ quan trọng, quyết định đến tốc độ và sự an toàn của quá trình phục hồi. Bạn có thể thực hiện việc kiểm soát theo hướng dẫn sau:
- Cầm máu hiệu quả: Ngay sau khi nhổ răng, bạn cần cắn chặt miếng gạc y tế vô trùng trong khoảng 30 - 45 phút để tạo áp lực lên vết thương, giúp máu đông lại và hình thành cục máu đông. Cục máu đông này cực kỳ quan trọng, nó có vai trò như một "nút chặn" bảo vệ vết thương. Tuyệt đối không nhai hoặc thay gạc liên tục vì có thể làm tan cục máu đông, gây chảy máu kéo dài và dẫn đến biến chứng ổ răng khô (dry socket).
- Chườm lạnh giảm sưng: Trong 24 giờ đầu, hãy dùng túi đá lạnh hoặc túi chườm chuyên dụng áp nhẹ nhàng bên ngoài má, tương ứng với vị trí nhổ răng. Mỗi lần chườm khoảng 15 - 20 phút, sau đó nghỉ 15 phút. Nhiệt độ thấp sẽ giúp co mạch máu, giảm sưng và làm dịu cảm giác đau.

2.2. Vệ sinh đúng thời điểm và dùng thuốc theo hướng dẫn
Vệ sinh đúng cách cũng là yếu tố quan trọng giúp đẩy nhanh tốc độ lành thương sau nhổ:
- 24 giờ đầu: Hạn chế súc miệng mạnh hoặc khạc nhổ để bảo vệ cục máu đông. Bạn chỉ nên súc miệng nhẹ nhàng bằng nước ấm sau khi ăn. Tuyệt đối không dùng nước muối trong giai đoạn này.
- Từ ngày thứ hai: Khi vết thương đã ổn định hơn, bạn có thể súc miệng bằng nước muối sinh lý (mua tại hiệu thuốc) hoặc dung dịch sát khuẩn được bác sĩ khuyên dùng. Hãy chải răng nhẹ nhàng, tránh chạm vào vết thương.
- Tuân thủ chỉ định thuốc: Bác sĩ sẽ kê đơn thuốc giảm đau và kháng viêm phù hợp với tình trạng của bạn. Hãy uống thuốc đúng liều lượng và thời gian theo chỉ dẫn. Không tự ý mua thuốc hoặc dùng thuốc không có trong đơn, điều này có thể gây ra những rủi ro không lường trước.

2.3. Chế độ ăn uống và sinh hoạt khoa học
Một chế độ ăn uống và sinh hoạt hợp lý không chỉ cung cấp đủ năng lượng cho cơ thể mà còn giúp vết thương mau lành, giảm thiểu khó chịu:
- Ưu tiên thức ăn mềm, lỏng: Trong vài ngày đầu, hãy ăn các loại thức ăn mềm, dễ nuốt, không cần nhai nhiều như cháo, súp nguội, sinh tố, sữa chua, kem. Tránh các món ăn cay nóng, dai, giòn, cứng hoặc quá lạnh vì có thể gây kích ứng vết thương.
- Tránh các chất kích thích: Không hút thuốc lá và uống rượu bia trong quá trình phục hồi. Hút thuốc có thể làm tan cục máu đông, còn rượu có thể làm loãng máu và cản trở quá trình lành vết thương.
- Nghỉ ngơi hợp lý: Tránh các hoạt động thể chất mạnh, cần nghỉ ngơi đủ để cơ thể có thời gian phục hồi.

Nỗi lo về việc nhổ răng khôn 1 bên có bị lệch mặt không thường xuất phát từ những thay đổi tạm thời sau tiểu phẫu. Khi quá trình sưng nề kết thúc, khuôn mặt của bạn sẽ trở lại trạng thái cân đối như ban đầu. Tuy nhiên, việc lựa chọn một nha khoa uy tín như Nha khoa Thẩm mỹ Quốc tế Hải Oanh không chỉ giúp bạn giải quyết dứt điểm cơn đau do răng khôn gây ra, mà còn đảm bảo quá trình hồi phục nhanh chóng, an toàn, giúp bạn nhanh chóng lấy lại sự tự tin với nụ cười rạng rỡ.
3. Nha Khoa Thẩm Mỹ Quốc Tế Hải Oanh - Địa chỉ nhổ răng khôn uy tín, an toán số 1 tại Quảng Ninh
Việc nhổ răng khôn không chỉ là một ca tiểu phẫu thông thường, mà còn là một quyết định cần được cân nhắc kỹ lưỡng. Tại Nha khoa Thẩm mỹ Quốc tế Hải Oanh, chúng tôi đặt chữ “tâm” lên hàng đầu, cam kết chỉ tư vấn nhổ răng khôn khi thực sự cần thiết, dựa trên tình trạng sức khỏe và kết quả thăm khám chính xác.
Đội ngũ chuyên gia giàu kinh nghiệm
Sự an toàn của bạn là ưu tiên hàng đầu. Đội ngũ bác sĩ tại Nha khoa Thẩm mỹ Quốc tế Hải Oanh đều là những chuyên gia có chứng chỉ hành nghề, được đào tạo chuyên sâu về phẫu thuật răng hàm mặt. Với kinh nghiệm thực hiện thành công hàng ngàn ca nhổ răng khôn từ đơn giản đến phức tạp, chúng tôi cam kết quy trình diễn ra nhanh chóng, chính xác, không gây đau đớn và không để lại biến chứng. Sự tận tâm và tay nghề vững vàng của các bác sĩ sẽ giúp bạn vượt qua nỗi sợ hãi, lấy lại sự tự tin.

Công nghệ nhổ răng khôn bằng sóng siêu âm Piezotome
Chúng tôi đã ứng dụng công nghệ nhổ răng khôn tiên tiến nhất hiện nay: máy siêu âm Piezotome. Thay vì sử dụng kìm và bẩy truyền thống gây nhiều đau đớn và xâm lấn, Piezotome sử dụng sóng siêu âm cao tần để làm đứt các dây chằng nha chu. Quá trình này giúp bác sĩ lấy răng ra một cách nhẹ nhàng, hạn chế tối đa việc phải rạch nướu hay tác động mạnh vào xương hàm. Nhờ đó, vết thương nhỏ, ít chảy máu, giảm sưng đau, cũng như đẩy nhanh quá trình lành thương, giúp bạn hồi phục nhanh chóng.

Quy trình vô khuẩn chuẩn quốc tế
Mọi ca phẫu thuật, kể cả nhổ răng khôn, tại Nha khoa Thẩm mỹ Quốc tế Hải Oanh đều được thực hiện trong phòng phẫu thuật vô khuẩn tuyệt đối. Hệ thống máy móc, dụng cụ được khử trùng nghiêm ngặt bằng công nghệ tiệt khuẩn hiện đại, đảm bảo an toàn tuyệt đối, ngăn ngừa mọi nguy cơ lây nhiễm chéo.

Chăm sóc tận tâm sau điều trị
Quy trình nhổ răng không kết thúc khi bạn rời khỏi phòng khám. Bác sĩ sẽ hướng dẫn chi tiết về cách chăm sóc vết thương tại nhà, từ chế độ ăn uống, vệ sinh răng miệng đến việc sử dụng thuốc. Chúng tôi sẽ theo dõi sát sao quá trình hồi phục của bạn và luôn sẵn sàng hỗ trợ khi cần thiết.

Đừng để nỗi sợ hãi cản trở bạn bảo vệ sức khỏe răng miệng. Để được tư vấn cụ thể và thực hiện nhổ răng khôn an toàn, hãy liên hệ ngay với Nha khoa Thẩm mỹ Quốc tế Hải Oanh.
---------------------------------------------------------------------------------------
Nha Khoa Thẩm Mỹ Quốc Tế Hải Oanh - Tạo thương hiệu từ chất lượng!
- Địa chỉ: Ngã ba đường 188, Khu đô thị Tân Việt Bắc - Mạo Khê - Đông Triều - Quảng Ninh.
- Hotline: 0915.151.191 - 0818.28.28.29
- Website: https://nhakhoathammyquoctehaioanh.com/
- Zalo OA: https://zalo.me/haioanhdental
